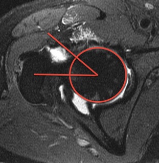
Hip Alpha Angle

DEFINITION:

Using the axial oblique sequence, a circle is centered over femoral head. The angle is formed by:
1) A line parallel to the femoral neck axis
2) A line from the center of the femoral head to the transition of the femoral head into the femoral neck (neck radius exceeds head radius)

ABNORMAL:
Angles > 55 degrees anteriorly are indicative of CAM type morphology and are associated with femoral acetabular impingement (FAI).

Refs:
1. http://xrayhead.com/measure/show_measurement.php?i=3
2. https://www.ncbi.nlm.nih.gov/pubmed/27335209